Anti-CD34 Mouse mAb (100 μl)

Anti-CD34 Mouse mAb (100 μl)

Brand: ServiceBio
Cat. #: GB121693-100
Availability: In Stock
$259.00
-+
Reactivity: Human, Mouse, Rat    
Applications: IHC/IF    
Host Species: Mouse    
Clonality: Monoclonal    
Gene Name: Hematopoietic progenitor cell antigen CD34
Synonyms: CD34, HPCA1, Mucosialin, Cluster designation 34, cluster of differentiation 34, CD34 antigen, CD34 molecule
Immunogen: Human recombinant CD34 protein expressed in CHO cells
Uniprot ID: P28906
Isotype: IgG1,κ
Purity: Affinity purification
Subcellular location: Membrane
Documents:Manual-CD34 Antibody




Product Usage Information

Applications

Species

Dilution

Positive Sample

IHC/IF

Human, Mouse, Rat

1: 500-1: 1000

breast cancer, cervical cancer, gastric cancer




Background

CD34 is a 105- to 120-kDa glycophosphoprotein expressed on the majority of hematopoietic stem/progenitor cells, bone marrow stromal cells, capillary endothelial cells, embryonic fibroblasts, and some nerve tissue. CD34 is a commonly used marker for identifying human hematopoietic stem/progenitor cells and mediates cell adhesion and lymphocyte homing by binding L-selectin and E-selectin ligands. CD34 is also one of the best negative selection markers for characterizing and/or isolating human MSCs from bone marrow and other sources.




Images

CD34 antibody

IHC analysis of CD34 (GB121693).

Sample: Human breast cancer (Paraffin), 4% PFA (G1101) 12-24h.

Antigen retrieval: Citrate buffer (pH 6.0) (G1201), pressure cooker 2min.

Blocking buffer: 3% BSA in PBS (GC305010), RT, 30min.

Primary antibody: 1: 500, 4°C overnight.

Secondary antibody: HRP Goat Anti-Mouse lgG (GB23301), 1: 200 RT 1h.


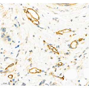
anti CD34 antibody

IHC analysis of CD34 (GB121693).

Sample: Human gastric cancer (Paraffin), 4% PFA (G1101) 12-24h.

Antigen retrieval: Citrate buffer (pH 6.0) (G1201), pressure cooker 2min.

Blocking buffer: 3% BSA in PBS (GC305010), RT, 30min.

Primary antibody: 1: 500, 4°C overnight.

Secondary antibody: HRP Goat Anti-Mouse lgG (GB23301), 1: 200 RT 1h.

IHC analysis of CD34 (GB121693).

Sample: Human ovarian cancer (Paraffin), 4% PFA (G1101) 12-24h.

Antigen retrieval: Citrate buffer (pH 6.0) (G1201), pressure cooker 2min.

Blocking buffer: 3% BSA in PBS (GC305010), RT, 30min.

Primary antibody: 1: 500, 4°C overnight.

Secondary antibody: HRP Goat Anti-Mouse lgG (GB23301), 1: 200 RT 1h.

IF analysis of CD34 (GB121693).

Sample: Human cervical cancer (Paraffin), 4% PFA (G1101) 12-24h.

Antigen retrieval: Citrate buffer (pH 6.0) (G1201), pressure cooker 2min.

Blocking buffer: 3% BSA in PBS (GC305010), RT, 30min.

Primary antibody: 1: 500, 4°C overnight.

Secondary antibody: Cy3 conjugated Goat Anti-mouse IgG (H+L)(GB21301),1: 200 RT 1h.

IF analysis of CD34 (GB121693).

Sample: Human liver (Paraffin), 4% PFA (G1101) 12-24h.

Antigen retrieval: Citrate buffer (pH 6.0) (G1201), pressure cooker 2min.

Blocking buffer: 3% BSA in PBS (GC305010), RT, 30min.

Primary antibody: 1: 500, 4°C overnight.

Secondary antibody: Cy3 conjugated Goat Anti-mouse IgG (H+L)(GB21301),1: 200 RT 1h.

IF analysis of CD34 (GB121693).

Sample: Human ovarian cancer (Paraffin), 4% PFA (G1101) 12-24h.

Antigen retrieval: Citrate buffer (pH 6.0) (G1201), pressure cooker 2min.

Blocking buffer: 3% BSA in PBS (GC305010), RT, 30min.

Primary antibody: 1: 500, 4°C overnight.

Secondary antibody: Cy3 conjugated Goat Anti-mouse IgG (H+L)(GB21301),1: 200 RT 1h.

IF analysis of CD34 (GB121693).

Sample: Mouse uterus (Paraffin), 4% PFA (G1101) 12-24h.

Antigen retrieval: Citrate buffer (pH 6.0) (G1201), pressure cooker 2min.

Blocking buffer: 3% BSA in PBS (GC305010), RT, 30min.

Primary antibody: 1: 500, 4°C overnight.

Secondary antibody: Cy3 conjugated Goat Anti-mouse IgG (H+L)(GB21301),1: 200 RT 1h.


IF analysis of CD34 (GB121693).

Sample: Rat brain (Paraffin), 4% PFA (G1101) 12-24h.

Antigen retrieval: Citrate buffer (pH 6.0) (G1201), pressure cooker 2min.

Blocking buffer: 3% BSA in PBS (GC305010), RT, 30min.

Primary antibody: 1: 500, 4°C overnight.

Secondary antibody: Cy3 conjugated Goat Anti-mouse IgG (H+L)(GB21301),1: 200 RT 1h.





Storage

StorageStore at -20 °C for one year. Avoid repeated freeze/thaw cycles.
Storage BufferPBS with 0.02%sodium azide,100 μg/ml BSA and 50% glycerol.



You may also be interested in:

Related Products


LIFESCT © 2025

Publications

text_heading

Our Location

405 East Gude Dr., Suite 205, Rockville, MD 20850, USA

+1-301-328-1977